Introduction to Teeth Hole Repair
A healthy, beautiful smile is often associated with overall well-being and confidence. However, one common dental concern that can compromise both aesthetics and functionality is the presence of holes or cavities in Teeth Hole Repair. These dental imperfections, if left untreated, can lead to pain, infection, and even tooth loss. Fortunately, modern dentistry offers a variety of effective methods for repairing Teeth Hole Repair, restoring both form and function. This article explores the causes of tooth holes, available repair options, the procedures involved, and tips for maintaining dental health post-repair.
Understanding Tooth Holes: Causes and Implications
What Are Tooth Holes?
Tooth holes, commonly called cavities or dental caries, are areas of decayed tooth structure that have been compromised by bacterial activity. They often appear as dark spots or holes on the tooth surface, especially on the chewing surfaces or between Teeth Hole Repair.
Causes of Tooth Cavities
The primary cause of dental cavities is the accumulation of plaque—a sticky film of bacteria, food particles, and sugars—that adheres to the tooth surface. When bacteria digest sugars, they produce acids that erode the enamel, the hard outer layer of the tooth. Repeated acid attacks lead to demineralization and, eventually, the formation of cavities. Other contributing factors include poor oral hygiene, frequent snacking or sugary drinks, dry mouth, and inadequate fluoride exposure.
Implications of Untreated Holes
If cavities are not promptly addressed, they can deepen and reach the dentin (the softer layer beneath enamel), causing sensitivity and pain. In advanced stages, infection can spread to the pulp (inner tissue), leading to abscess formation, tooth loss, and even systemic health issues.
Diagnosing Tooth Holes
Early detection is vital for successful Teeth Hole Repair. Dentists typically use visual examination, probing, and dental X-rays to identify cavities that are not visible to the naked eye. X-rays are especially useful for detecting hidden or internal decay between Teeth Hole Repair or beneath existing restorations.
Repairing Tooth Holes: Treatment Options
Modern dentistry offers several effective methods to Teeth Hole Repair cavities, each tailored to the severity of the decay, location of the hole, patient’s age, and overall oral health.
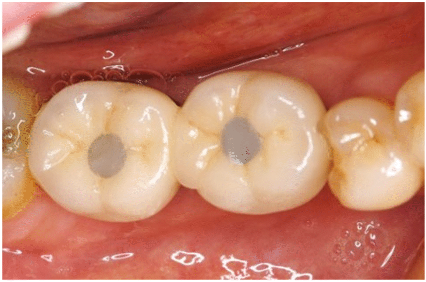
1. Dental Fillings
Overview:
The most common Teeth Hole Repair method for small to medium-sized cavities, dental fillings involve removing decayed tissue and restoring the tooth with a suitable filling material.
Materials Used:
- Amalgam: Durable and cost-effective, but less aesthetically pleasing due to its metallic appearance.
- Composite Resin: Tooth-colored, aesthetically appealing, and suitable for visible areas.
- Gold: Highly durable, but more expensive and mainly used in specific cases.
- Ceramic: Tooth-colored and resistant to staining, often used in inlays and onlays.
Procedure:
- Local anesthesia is administered to numb the area.
- The dentist removes decayed tissue using a drill or laser.
- The cavity is cleaned thoroughly to eliminate bacteria.
- The chosen filling material is placed in layers, cured (hardened), and shaped to match the tooth’s natural anatomy.
- The restoration is polished for smoothness.
Benefits:
- Minimally invasive
- Restores function and aesthetics
- Usually completed in a single visit
2. Dental Crowns
Overview:
When the decay is extensive, and a large part of the tooth structure is compromised, a crown (or cap) is used to cover and protect the remaining tooth.
Materials:
Porcelain, metal alloys, or a combination (porcelain-fused-to-metal).
Procedure:
- Decay removal and tooth preparation.
- An impression of the tooth is taken to create a custom crown.
- A temporary crown is placed while the permanent one is fabricated.
- The permanent crown is cemented onto the prepared tooth.
Benefits:
- Provides strength and durability
- Restores shape, size, and function
- Improves aesthetics
3. Root Canal Therapy
Indication:
When decay reaches the pulp tissue inside the tooth, causing infection or abscess, a root canal becomes necessary.
Procedure:
- Removal of infected pulp tissue.
- Cleaning, disinfecting, and shaping the root canals.
- Filling the canals with a biocompatible material.
- Sealing and restoring the tooth with a crown for protection.
Benefits:
- Saves the natural tooth
- Eliminates pain and infection
Post-Repair Care and Maintenance
Repairing a tooth hole is just the beginning. Proper care ensures the longevity of the restoration and maintains overall oral health.
- Maintain good oral hygiene: Brush twice daily with fluoride toothpaste, floss regularly, and use mouthwash.
- Limit sugary and acidic foods: These promote bacterial growth and enamel erosion.
- Regular dental visits: Routine check-ups and cleanings help monitor the condition of restorations and prevent new cavities.
- Avoid habits that damage Teeth Hole Repair: Such as nail-biting, grinding, or using Teeth Hole Repair as tools.
Advances in Tooth Hole Repair Technologies
Recent innovations have improved the effectiveness and longevity of cavity restorations:
- Laser Dentistry: Minimally invasive removal of decay with less discomfort.
- Glass Ionomer Fillings: Release fluoride over time, helping prevent further decay.
- CAD/CAM Technology: Precise designing and milling of restorations like crowns and inlays in a single visit.
- Biocompatible Materials: Development of tooth-like composites and bioactive materials that promote remineralization.
Conclusion
Teeth Hole Repair, if left untreated, can lead to significant dental and health problems. Fortunately, modern dentistry offers a variety of effective, minimally invasive, and aesthetically pleasing options for repairing cavities. From simple fillings to complex root canals and crowns, each procedure aims to restore the tooth’s integrity, function, and appearance.
Prevention remains the best approach—maintaining good oral hygiene, limiting sugary intake, and visiting the dentist regularly are key steps in avoiding tooth holes altogether. When cavities do occur, timely intervention by a dental professional can save your natural Teeth Hole Repair and preserve your confident smile for years to come.
Remember: If you suspect you have a cavity or notice a hole in your tooth, consult your dentist promptly. Early treatment not only reduces discomfort and costs but also ensures optimal oral health and a radiant smile.
